La technique de la greffe de gencive
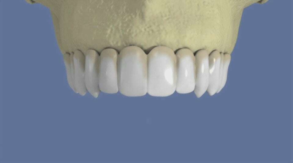
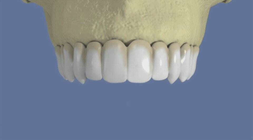
Maxillaire all-on-6 et comblement de sinus
Création par
Connexion
Vidéo en cours de lecture